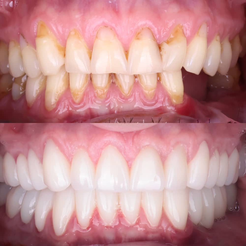
Implantoprotetyka
Implantoprotetyka to dziedzina stomatologii, która łączy implantologię oraz protetyką, umożliwiając odbudowę braków w uzębieniu. Polega na umieszczaniu implantów stomatologicznych w kości szczęki lub żuchwy, które następnie służą jako podstawa do zamocowania koron, mostów lub protez.
Dzięki implantoprotetyce możliwe jest przywrócenie pełnej funkcji żucia oraz estetyki uśmiechu, co znacząco poprawia komfort życia pacjentów. To nowoczesne rozwiązanie gwarantuje stabilność i trwałość odbudowy protetycznej, co czyni ją jedną z najlepszych metod rekonstrukcji zębów.
Nasza oferta implantoprotetyczna
Protezy całkowite overdenture
Protezy całkowite overdenture to jedno z najbardziej innowacyjnych rozwiązań w dziedzinie protetyki, dedykowane pacjentom, którzy utracili wszystkie zęby w szczęce, żuchwie lub obu. Tradycyjne protezy ruchome, które są podtrzymywane przez dziąsła, często powodują dyskomfort związany z ich przesuwaniem się, co może prowadzić do podrażnień, a nawet uszkodzeń tkanek miękkich jamy ustnej. Protezy overdenture stanowią nowoczesną alternatywę, ponieważ są mocowane na implantach, które stabilnie zakotwiczają protezę w jamie ustnej.
Dzięki zastosowaniu implantów, protezy overdenture charakteryzują się znacznie większą stabilnością niż tradycyjne protezy ruchome. Implanty nie tylko utrzymują protezę na miejscu, ale także przeciwdziałają zanikowi kości, co jest częstym problemem u pacjentów korzystających z tradycyjnych protez ruchomych. Protezy overdenture są rozwiązaniem komfortowym, które eliminuje problem przesuwania się protezy, umożliwiając pacjentom swobodne jedzenie, mówienie i uśmiechanie się.
Dodatkową zaletą protez overdenture jest ich estetyka. Dzięki stabilnemu zamocowaniu na implantach, proteza może być idealnie dopasowana do naturalnego kształtu twarzy pacjenta, co pozwala na odtworzenie jego naturalnego wyglądu i poprawę profilu twarzy. W naszej klinice protezy overdenture są projektowane z myślą o maksymalnym komforcie użytkowania oraz estetyce, która spełnia najwyższe standardy.
Obecnie bardzo rzadko wykonujemy tego typu prace na korzyść prac przykręcanych jak mosty (All On 4, All On 6).
Mosty na implantach
Mosty na implantach to doskonałe rozwiązanie dla pacjentów, którzy utracili kilka zębów w jednym łuku zębowym. W odróżnieniu od tradycyjnych mostów, które są osadzane na sąsiadujących zębach, mosty na implantach są mocowane bezpośrednio na implantach, co eliminuje konieczność szlifowania zdrowych zębów. Dzięki temu, że implanty pełnią funkcję korzeni zębów, cała konstrukcja mostu jest niezwykle stabilna i trwała, a pacjent może cieszyć się pełną funkcjonalnością i estetyką swojego uśmiechu.
Mosty na implantach to idealne rozwiązanie dla pacjentów, którzy chcą uniknąć noszenia protez ruchomych i zależy im na trwałym oraz estetycznym rozwiązaniu. Proces leczenia rozpoczyna się od wszczepienia odpowiedniej liczby implantów, które następnie stanowią fundament dla mostu protetycznego. W zależności od liczby brakujących zębów i stanu kości, liczba implantów może się różnić, jednakże typowym rozwiązaniem jest zastosowanie dwóch do czterech implantów na jednym łuku.
Wykonane z najwyższej jakości materiałów, takich jak ceramika czy porcelana, mosty na implantach cechują się dużą wytrzymałością i odpornością na ścieranie, co gwarantuje ich długowieczność. Dzięki zaawansowanej technologii, mosty są indywidualnie projektowane dla każdego pacjenta, co pozwala na idealne dopasowanie kształtu, koloru i wielkości zębów do jego naturalnego uśmiechu. W efekcie pacjent otrzymuje rozwiązanie, które jest nie do odróżnienia od naturalnych zębów zarówno pod względem estetycznym, jak i funkcjonalnym.
Dodatkowym atutem mostów na implantach jest ich zdolność do przywrócenia pełnej funkcji żucia, co ma kluczowe znaczenie dla zdrowia ogólnego pacjenta. Braki w uzębieniu mogą prowadzić do zaburzeń w trawieniu, ponieważ pacjent nie jest w stanie prawidłowo przeżuwać pokarmów. Mosty na implantach rozwiązują ten problem, umożliwiając pacjentowi normalne spożywanie nawet twardych pokarmów, co przekłada się na lepsze zdrowie i samopoczucie.
Korony na implantach
Korony na implantach to idealne rozwiązanie dla pacjentów, którzy utracili pojedyncze zęby i chcą przywrócić pełnię funkcji oraz estetyki swojego uśmiechu. W przypadku utraty pojedynczego zęba, implant stomatologiczny może być wszczepiony w miejsce brakującego korzenia, a na nim osadzona zostaje korona protetyczna, która jest indywidualnie dopasowywana do pozostałych zębów pacjenta.
Korony na implantach są niezwykle popularnym rozwiązaniem, ponieważ zapewniają pełną funkcjonalność i estetykę, porównywalną z naturalnym zębem. Proces leczenia obejmuje wszczepienie implantu, który po zintegrowaniu się z kością szczęki lub żuchwy, staje się stabilnym fundamentem dla korony. Korona jest następnie precyzyjnie dopasowywana do kształtu, koloru i rozmiaru pozostałych zębów pacjenta, co sprawia, że jest ona nie do odróżnienia od naturalnych zębów.
W naszej klinice korony na implantach są wykonywane z najwyższej jakości materiałów, takich jak ceramika, porcelana czy cyrkon, które cechują się wyjątkową trwałością i estetyką. Dzięki zastosowaniu nowoczesnych technologii, takich jak cyfrowe projektowanie i modelowanie (CAD/CAM), korony są idealnie dopasowane do anatomicznych warunków pacjenta, co gwarantuje ich komfortowe użytkowanie i długowieczność.
Korony na implantach są szczególnie polecane pacjentom, którzy utracili zęby w wyniku urazu, próchnicy czy chorób przyzębia, i chcą odzyskać pełnię funkcji oraz estetyki swojego uśmiechu. Dzięki implantom pacjenci mogą cieszyć się trwałym rozwiązaniem, które nie tylko poprawia ich wygląd, ale także przywraca zdolność do normalnego żucia i mówienia.
All-on-4/All-on-6
All-on-4 oraz All-on-6 to zaawansowane i innowacyjne metody rekonstrukcji pełnych łuków zębowych, dedykowane pacjentom, którzy utracili wszystkie zęby w jednym lub obu łukach zębowych. Te metody polegają na wszczepieniu odpowiednio czterech lub sześciu implantów w strategicznych miejscach w łuku zębowym, które następnie służą jako podstawa dla pełnej rekonstrukcji zębów.
Metoda All-on-4 została opracowana z myślą o minimalizacji liczby implantów potrzebnych do stabilnego podparcia pełnego łuku zębowego, co znacząco redukuje koszty i czas leczenia. W tej metodzie dwa implanty są wszczepiane pod kątem, co pozwala na optymalne wykorzystanie dostępnej kości, nawet w przypadkach, gdy jej ilość jest ograniczona. Dzięki temu, metoda All-on-4 jest szczególnie polecana pacjentom, którzy mają ograniczoną ilość kości lub chcą uniknąć dodatkowych zabiegów augmentacyjnych, takich jak przeszczepy kości.
Metoda All-on-6, natomiast, jest bardziej zaawansowanym rozwiązaniem, które polega na wszczepieniu sześciu implantów, co zapewnia jeszcze większą stabilność i trwałość całej konstrukcji protetycznej. Dzięki większej liczbie implantów, obciążenie jest równomiernie rozłożone, co dodatkowo zwiększa komfort użytkowania i długowieczność rekonstrukcji.
Obie metody, All-on-4 i All-on-6, pozwalają na szybkie przywrócenie pełnej funkcji i estetyki uśmiechu, ponieważ w wielu przypadkach możliwe jest wykonanie tymczasowej odbudowy protetycznej już w ciągu jednego dnia od zabiegu implantacji. Jest to szczególnie ważne dla pacjentów, którzy chcą szybko wrócić do normalnego funkcjonowania w życiu codziennym, bez konieczności długotrwałego noszenia tymczasowych protez ruchomych.
W naszej klinice metoda All-on-4 i All-on-6 jest stosowana z wykorzystaniem najnowocześniejszych technologii diagnostycznych i planistycznych, co pozwala na precyzyjne zaplanowanie każdego etapu leczenia. Korzystamy z technologii takich jak cyfrowe planowanie implantacji, druk 3D, czy zaawansowane systemy CAD/CAM, co pozwala na osiągnięcie perfekcyjnych rezultatów estetycznych i funkcjonalnych.
Metody All-on-4 i All-on-6 są szczególnie polecane pacjentom, którzy utracili wszystkie zęby i poszukują stabilnej, trwałej oraz estetycznej alternatywy dla tradycyjnych protez ruchomych. Dzięki nim, pacjenci mogą cieszyć się nowym, pięknym uśmiechem, który jest nie tylko funkcjonalny, ale także estetyczny, co znacząco poprawia jakość życia.
Etapy leczenia implantoprotetycznego
Podczas pierwszej wizyty przeprowadzamy szczegółową konsultację, wykonujemy diagnostykę oraz omawiamy indywidualne potrzeby pacjenta. Na tej podstawie przygotowujemy precyzyjny plan leczenia, obejmujący ilość implantów oraz rodzaj odbudowy protetycznej.
W kolejnym etapie przeprowadzamy zabieg wszczepienia implantów – tytanowych śrub, które zastępują korzenie zębów. Zabieg jest wykonywany w znieczuleniu miejscowym, zapewniając pacjentowi komfort. Następnie implanty potrzebują czasu na zintegrowanie się z kością (osteointegracja), co trwa od kilku tygodni do kilku miesięcy.
Po pełnej osteointegracji przystępujemy do ostatniego etapu – wykonania i zamocowania koron, mostów lub protez na implantach. Każda odbudowa jest indywidualnie dopasowywana, zapewniając pacjentowi zarówno estetykę, jak i pełną funkcjonalność nowego uzębienia.
Więcej o implantoprotetyce
W naszej klinice implantoprotetyka jest traktowana jako jeden z priorytetów, a naszym celem jest zapewnienie pacjentom najwyższej jakości usług, które są dostosowane do ich indywidualnych potrzeb.
Dysponujemy nowoczesnym zapleczem technologicznym oraz zespołem doświadczonych specjalistów, którzy z pasją i zaangażowaniem podchodzą do każdego przypadku. Dzięki temu możemy zaoferować kompleksowe leczenie, które obejmuje zarówno wszczepienie implantów, jak i wykonanie najwyższej jakości odbudowy protetycznej.
Jesteśmy w stanie wykonać prace na wszystkich systemach implantologicznych.
Implantoprotetyka niesie ze sobą szereg korzyści, które mają bezpośredni wpływ na jakość życia pacjentów. W przeciwieństwie do tradycyjnych metod protetycznych, takich jak mosty czy protezy ruchome, implanty stomatologiczne oferują rozwiązania oparte na stabilnych i trwałych podstawach, co przekłada się na komfort użytkowania i długowieczność odbudowy.
Jednym z najważniejszych aspektów implantoprotetyki jest przywrócenie pełnej funkcji żucia. Utrata zębów, zwłaszcza w odcinkach bocznych, prowadzi do znacznych problemów z przeżuwaniem pokarmów, co może skutkować nie tylko dyskomfortem, ale także problemami trawiennymi i ogólnym pogorszeniem stanu zdrowia.
Implanty stomatologiczne, dzięki swojej stabilności, pozwalają na odbudowę zębów w sposób, który umożliwia normalne żucie i spożywanie nawet twardych pokarmów.
Jest to kluczowe nie tylko dla komfortu pacjenta, ale także dla jego zdrowia ogólnego, ponieważ prawidłowe przeżuwanie pokarmu jest pierwszym etapem efektywnego trawienia.
Estetyka uśmiechu odgrywa ogromną rolę w życiu każdego człowieka. Utrata nawet jednego zęba może prowadzić do obniżenia pewności siebie, a w przypadku większych braków – do unikania kontaktów towarzyskich.
Implantoprotetyka pozwala na przywrócenie pełnego uśmiechu, który nie tylko wygląda naturalnie, ale także pozwala pacjentowi na swobodne uśmiechanie się i pewne siebie funkcjonowanie w życiu codziennym.
Nowoczesne technologie pozwalają na dobór odpowiedniego kształtu, koloru i struktury koron protetycznych, co sprawia, że są one nie do odróżnienia od naturalnych zębów.
W przeciwieństwie do protez ruchomych, które mogą powodować dyskomfort, podrażnienia dziąseł, a także ryzyko przesuwania się w trakcie jedzenia lub mówienia, implanty stomatologiczne są na stałe zintegrowane z kością szczęki lub żuchwy.
Dzięki temu zapewniają one maksymalny komfort użytkowania, eliminując wiele problemów związanych z tradycyjnymi metodami protetycznymi.
Pacjenci, którzy zdecydowali się na implantoprotetykę, podkreślają, że to rozwiązanie znacząco poprawiło ich jakość życia, dając im poczucie pewności siebie i pełnej kontroli nad swoim uśmiechem.
Proces leczenia implantoprotetycznego jest złożony i wymaga precyzyjnego planowania oraz współpracy zespołu specjalistów, w tym chirurgów stomatologicznych, protetyków i techników dentystycznych. Każdy etap tego procesu jest dokładnie monitorowany, aby zapewnić pacjentowi maksymalną skuteczność i bezpieczeństwo leczenia.
Pierwszym etapem leczenia implantoprotetycznego jest wszczepienie implantów stomatologicznych. Implanty są to małe tytanowe śruby, które zostają umieszczone w kości szczęki lub żuchwy w miejsce brakujących zębów. Proces ten wymaga precyzyjnego wykonania, aby implanty mogły prawidłowo zintegrować się z kością, co jest kluczowe dla ich stabilności i trwałości.
Procedura implantacji jest przeprowadzana w znieczuleniu miejscowym, co sprawia, że jest bezbolesna dla pacjenta. W niektórych przypadkach, szczególnie gdy wymagane jest wszczepienie większej liczby implantów lub u pacjentów z wyjątkowo wrażliwymi tkankami, możliwe jest zastosowanie znieczulenia ogólnego. Po umieszczeniu implantów, konieczny jest okres gojenia, w trakcie którego dochodzi do tzw. osteointegracji – procesu, w którym implant zespala się z kością, stając się jej integralną częścią.
Po zakończeniu procesu osteointegracji, który trwa zazwyczaj od kilku tygodni do kilku miesięcy, możliwe jest przejście do etapu protetycznego, czyli zamocowania koron, mostów lub protez na implantach. Implanty pełnią wówczas rolę korzeni zębów, na których osadzone są odbudowy protetyczne. Dzięki temu, że implanty są solidnie zakotwiczone w kości, cała konstrukcja protetyczna jest stabilna i trwała, co pozwala na normalne funkcjonowanie w życiu codziennym.
Korony protetyczne są indywidualnie dopasowywane do potrzeb pacjenta, zarówno pod względem kształtu, jak i koloru, co gwarantuje naturalny wygląd odbudowy. Mosty na implantach umożliwiają odtworzenie większych braków w uzębieniu, bez konieczności szlifowania sąsiadujących zębów, co jest konieczne w przypadku tradycyjnych mostów. Z kolei protezy całkowite overdenture, mocowane na implantach, zapewniają komfort i stabilność, jakiej nie można uzyskać przy użyciu tradycyjnych protez ruchomych.
Chcesz umówić się na wizytę?
Metamorfozy
Chirurgia stomatologiczna
Implantoprotetyka
Protetyka
Invisalign®
