Licówki kompozytowe i porcelanowe Lublin
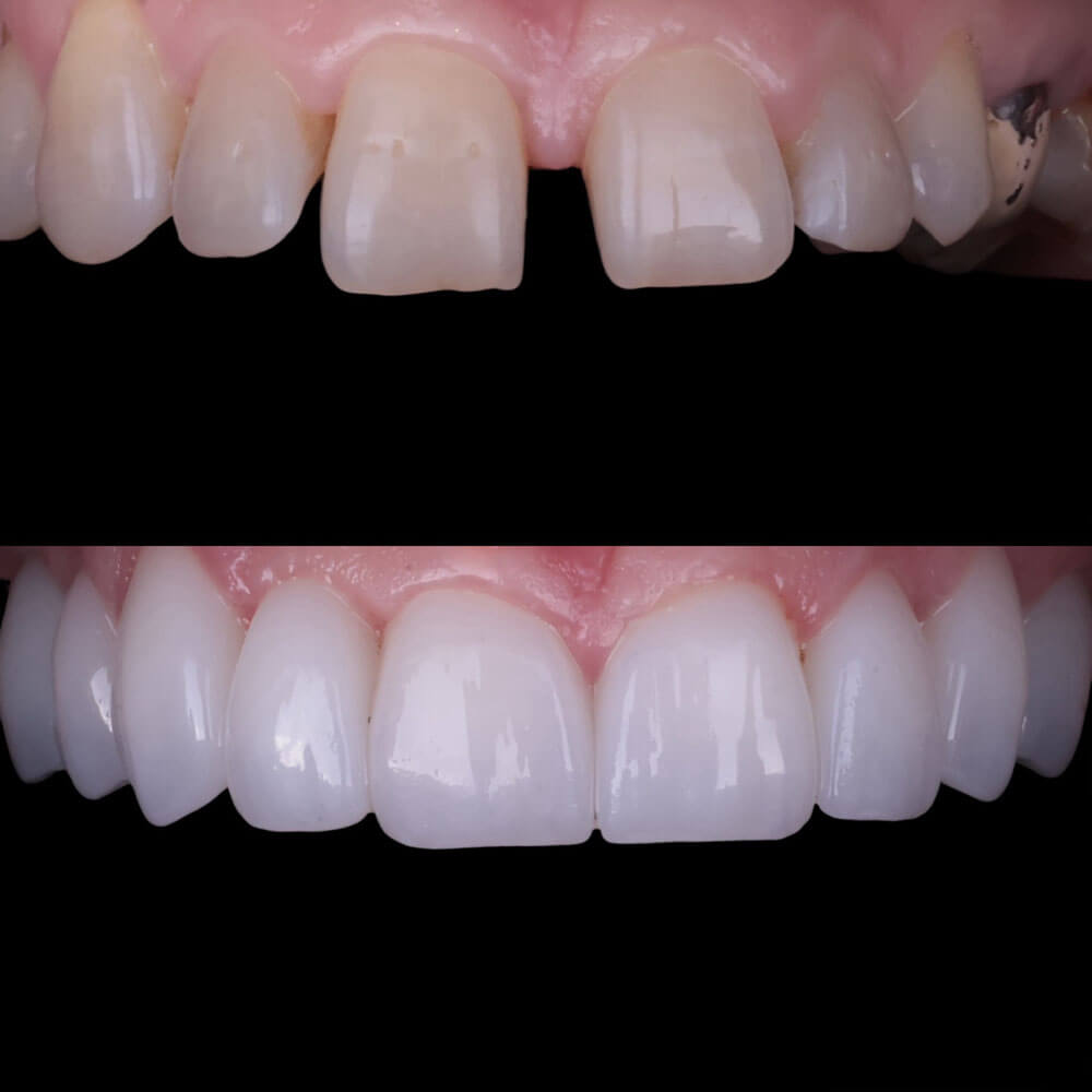
Licówki to jedno z najbardziej zaawansowanych i precyzyjnych rozwiązań w stomatologii estetycznej. W klinice Aldent Lublin stosujemy je u pacjentów, którzy oczekują naturalnej poprawy koloru, kształtu i proporcji zębów bez efektu sztuczności i nadmiernej ingerencji w szkliwo. To cienkie, indywidualnie projektowane nakładki porcelanowe, które pozwalają skorygować przebarwienia, nierówności, diastemy czy drobne uszkodzenia, zachowując maksymalnie dużo tkanek własnych zęba.
Każda metamorfoza z użyciem licówek jest poprzedzona dokładnym planowaniem estetycznym, analizą twarzy i zgryzu oraz indywidualnym projektem uśmiechu. Wykonujemy wizualizację efektu końcowego, dzięki czemu pacjent jeszcze przed rozpoczęciem leczenia może zobaczyć planowaną zmianę. Pracujemy na wysokiej jakości materiałach, dbając o trwałość, funkcjonalność i perfekcyjne dopasowanie do rysów twarzy, aby uzyskany efekt był harmonijny i długotrwały.
Estetyczna i precyzyjna metamorfoza uśmiechu z licówkami w Aldent Lublin
Czym są licówki stomatologiczne?
Licówki to cienkie, indywidualnie projektowane nakładki (najczęściej porcelanowe lub pełnoceramiczne), które są trwale mocowane na przedniej powierzchni zębów. Stanowią jedno z najnowocześniejszych rozwiązań w stomatologii estetycznej, ponieważ pozwalają w sposób precyzyjny i przewidywalny poprawić wygląd uśmiechu przy minimalnej ingerencji w naturalną strukturę zęba. W większości przypadków preparacja szkliwa jest bardzo oszczędna, a czasem możliwe jest nawet wykonanie licówek bez szlifowania.
Licówki projektowane są indywidualnie dla każdego pacjenta – z uwzględnieniem rysów twarzy, linii warg, koloru cery oraz proporcji zębów. Dzięki temu efekt końcowy nie wygląda sztucznie, lecz harmonijnie komponuje się z całym uśmiechem. To rozwiązanie szczególnie polecane osobom, które chcą skorygować przebarwienia oporne na wybielanie, nierówności, diastemy (przerwy między zębami), drobne ukruszenia czy niewielkie wady kształtu.
Efekt licówek to przede wszystkim:
– naturalny kolor i translucencja, czyli subtelna przezierność charakterystyczna dla zdrowego szkliwa,
– harmonijne proporcje zębów dopasowane do twarzy i zgryzu,
– długotrwała estetyka odporna na przebarwienia i utratę połysku.
Nowoczesna porcelana doskonale odbija światło, dzięki czemu licówki wiernie imitują naturalne tkanki zęba. Dodatkowo są odporne na osadzanie się barwników z kawy, herbaty czy czerwonego wina, co pozwala utrzymać jasny uśmiech przez wiele lat. Przy odpowiedniej higienie jamy ustnej i regularnych wizytach kontrolnych licówki mogą służyć pacjentowi przez długi czas, zapewniając trwały, estetyczny i komfortowy efekt.
Kiedy warto zdecydować się na licówki?
Licówki są idealnym rozwiązaniem w przypadku:
– trwałych przebarwień odpornych na wybielanie,
– nierównego kształtu lub długości zębów,
– drobnych pęknięć i ukruszeń,
– diastem (szpar między zębami),
– chęci poprawy harmonii i symetrii uśmiechu.
To doskonała opcja dla osób, które oczekują szybkiej, a jednocześnie trwałej metamorfozy uśmiechu bez konieczności długotrwałego leczenia ortodontycznego. Licówki pozwalają subtelnie „wyrównać” optycznie linię zębów, nadać im jaśniejszy odcień oraz poprawić proporcje tak, aby uśmiech stał się bardziej spójny i estetyczny. Często są wybierane przez pacjentów, którzy chcą odzyskać pewność siebie w sytuacjach zawodowych i towarzyskich.
Warto jednak pamiętać, że kwalifikacja do zabiegu zawsze poprzedzona jest dokładną diagnostyką i oceną stanu zębów oraz zgryzu. Licówki nie służą do odbudowy znacznie zniszczonych zębów – w takich przypadkach lepszym rozwiązaniem są korony protetyczne, które zapewniają większą wytrzymałość i pełne pokrycie osłabionej struktury zęba.
Jak wygląda leczenie licówkami?
Wykonujemy minimalne przygotowanie zębów (jeśli jest konieczne), pobieramy cyfrowe skany i projektujemy licówki indywidualnie pod względem kształtu, koloru i długości.
Gotowe licówki są trwale cementowane, a estetyka i zwarcie dokładnie sprawdzane. Leczenie kończy się kontrolą i instruktażem użytkowania.
Rodzaje licówek wykonywanych w Aldent Lublin
- licówki porcelanowe – najwyższa estetyka i odporność na przebarwienia
- licówki pełnoceramiczne – naturalna translucencja i precyzyjne dopasowanie
Dobór rodzaju licówek zależy od warunków zgryzowych, estetyki twarzy oraz oczekiwań pacjenta. Zawsze stawiamy na efekt naturalnego uśmiechu, a nie „białą maskę”.
Dlaczego licówki w Aldent Lublin?
- indywidualne projektowanie estetyczne uśmiechu
- minimalna ingerencja w szkliwo
- nowoczesne planowanie cyfrowe
- współpraca lekarza z doświadczonym technikiem
- nacisk na naturalność, symetrię i trwałość
W Aldent Lublin każdy przypadek traktowany jest kompleksowo – nie projektujemy jedynie „ładnych zębów”, ale harmonijny, funkcjonalny uśmiech dopasowany do twarzy, mimiki i osobowości pacjenta. Wykorzystujemy cyfrową analizę uśmiechu, dokumentację fotograficzną oraz mock-up, który pozwala zobaczyć i przetestować planowany efekt jeszcze przed wykonaniem ostatecznych prac.
Kluczowe znaczenie ma dla nas zachowanie zdrowych tkanek – dlatego preparacja zębów jest maksymalnie oszczędna i przeprowadzana z dużą precyzją. Ścisła współpraca lekarza z technikiem dentystycznym pozwala dopracować każdy detal: od kształtu i długości zębów, po subtelną przezierność i teksturę porcelany.
Licówki w Aldent to precyzyjna estetyka oparta na stomatologii funkcjonalnej, a nie szybki efekt kosmetyczny. Dbamy o prawidłowe relacje zgryzowe, komfort żucia i długoterminową trwałość pracy, tak aby efekt był nie tylko piękny, ale także bezpieczny i stabilny przez lata.
FAQ
Czy licówki wyglądają naturalnie?
Tak – pod warunkiem że są prawidłowo zaprojektowane i wykonane. Nowoczesne licówki porcelanowe bardzo wiernie imitują naturalne szkliwo, zarówno pod względem koloru, jak i przezierności (translucencji) oraz sposobu odbijania światła. Dzięki temu nie dają efektu „sztucznych”, jednolicie białych zębów.
Naturalny efekt zależy przede wszystkim od indywidualnego projektu uśmiechu. Odcień, kształt, długość i proporcje zębów powinny być dopasowane do rysów twarzy, wieku, koloru cery oraz linii warg. Kluczowe znaczenie ma także subtelna tekstura powierzchni i mikrodetale, które sprawiają, że licówki nie różnią się od naturalnych zębów.
Dobrze wykonane licówki są praktycznie nie do odróżnienia od własnego uzębienia – poprawiają estetykę, ale nie zwracają na siebie uwagi nienaturalnym wyglądem.
